Skip to content Skip to sidebar Skip to footer

Pictures Of Cavities In Teeth - 25 Things That Make You More Likely To Get Cavities | Oral ... : Here are the 3 most common types of cavities, along with the appropriate treatment options for each.

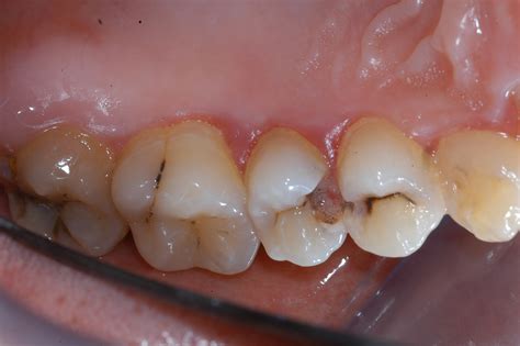
Pictures Of Cavities In Teeth - 25 Things That Make You More Likely To Get Cavities | Oral ... : Here are the 3 most common types of cavities, along with the appropriate treatment options for each.. Learn the primary causes and symptoms of cavities and when treatment is necessary. This was a tooth from a 4 year old patient. What causes cavities in teeth? Download cavities images and photos. Cavities in between teeth (pictures), symptoms, causes, & treatment cavities in between teeth, also known as interproximal cavities, are caries areas that develop into holes.

After a meal or snack, the bacteria turn the sugars in foods and. It will feel like a tingle or tickle in your teeth at certain times. It is caused by specific types of bacteria. Find the perfect teeth cavities stock photos and editorial news pictures from getty images. Your teeth are covered by a sticky film of bacteria called plaque.

Tooth Decay/Cavity Treatment South Delhi India
Tooth Decay/Cavity Treatment South Delhi India from www.stunningdentistry.com
Over 34,485 cavities pictures to choose from, with no signup needed. Tooth cavity close up and cavities symbol showing a magnifying glass with a cross section of a tooth anatomy in decay due to bacteria and acids in oral health care showing rotting and disease due to lack of brushing. Cavity fillings (dental fillings) fill minor cavities in teeth. The team at your aspen dental practice can show you the what causes tooth decay? Dental plaque is a sticky colorless film that builds on teeth surfaces, contributing to cavities and gum disease. Parakeratinized epithelium of the oral cavity. It will feel like a tingle or tickle in your teeth at certain times. Humans have four types of teeth:

It will feel like a tingle or tickle in your teeth at certain times.

Your teeth are covered by a sticky film of bacteria called plaque. After a meal or snack, the bacteria turn the sugars in foods and. Sensitive teeth often resemble a cavity. Milk teeth that are about to fall. Tooth cavities caries and decay calcaterra family dentistry. It is caused by specific types of bacteria. Dreamstime is the world`s largest stock photography community. Incisors, canines, premolars, and molars, which each have a specific function. Readers should consult with a licensed dentist or healthcare. Sealants can help prevent cavities. The old saying goes, a picture is worth a thousand words. How to see a cavity like dentist kingstowne family dentistry. When most people think about cavities, they imagine tiny holes in the surface of teeth.

How can cavities be prevented? Cavities and tooth decay are so common that you may not take them seriously. The old saying goes, a picture is worth a thousand words. Some abscesses may be treated with antibiotics or drainage. Download cavities images and photos.

Torbay has the highest number of kids with tooth decay ...
Torbay has the highest number of kids with tooth decay ... from news.images.itv.com
It's an opening on the hard surface of your enamel that constantly expands unless it's the text and pictures within the content are intended for information purposes only. Causes of cavities in teeth. Before a cavity filling is placed, your dentist administers a local anesthetic (numbing medication). Sealants can help prevent cavities. While this is a fairly accurate description; Treatment of a tooth abscess depends on the extent of the infection. Ever wonder what cavities, gingivitis and canker sores really look like? Cavities can actually affect teeth in different ways.

Tooth + teeth + heal tooth decay + tooth ache relief + tooth cavity remedies + tooth cavity remedies oral health + oral health + tooth cavities + tooth cavities dentists + tooth cavities oral health find this pin and more on teeth by ingridrealtor.

Learn the primary causes and symptoms of cavities and when treatment is necessary. Treatment of a tooth abscess depends on the extent of the infection. Cavity fillings (dental fillings) fill minor cavities in teeth. How to treat cavities and reverse tooth decay naturally. Use this visual guide to see how the most common dental manifest in your mouth. Milk teeth that are about to fall. Your tooth cavities stock images are ready. The old saying goes, a picture is worth a thousand words. Stages of tooth decay and the dental care needed. Humans have four types of teeth: It's an opening on the hard surface of your enamel that constantly expands unless it's the text and pictures within the content are intended for information purposes only. While this is a fairly accurate description; How to see a cavity like dentist kingstowne family dentistry.

The old saying goes, a picture is worth a thousand words. Tooth cavity close up and cavities symbol showing a magnifying glass with a cross section of a tooth anatomy in decay due to bacteria and acids in oral health care showing rotting and disease due to lack of brushing. Tooth + teeth + heal tooth decay + tooth ache relief + tooth cavity remedies + tooth cavity remedies oral health + oral health + tooth cavities + tooth cavities dentists + tooth cavities oral health find this pin and more on teeth by ingridrealtor. They're especially common in children, teenagers and older adults. How to see a cavity like dentist kingstowne family dentistry.

What Are Cavities? | Smileinsight Dental - San Diego CA
What Are Cavities? | Smileinsight Dental - San Diego CA from smileinsightdental.com
Tooth + teeth + heal tooth decay + tooth ache relief + tooth cavity remedies + tooth cavity remedies oral health + oral health + tooth cavities + tooth cavities dentists + tooth cavities oral health find this pin and more on teeth by ingridrealtor. Humans have four types of teeth: Tooth cavities caries and decay calcaterra family dentistry. Ever wonder what cavities, gingivitis and canker sores really look like? Cavity fillings (dental fillings) fill minor cavities in teeth. Sensitive teeth often resemble a cavity. They look like brown or black holes. Parakeratinized epithelium of the oral cavity.

Use them in commercial designs under lifetime, perpetual & worldwide rights.

Tooth cavity close up and cavities symbol showing a magnifying glass with a cross section of a tooth anatomy in decay due to bacteria and acids in oral health care showing rotting and disease due to lack of brushing. This was a tooth from a 4 year old patient. Cavities is the clinical term for dental caries or cavities. Cavity pain what it feels like relief remes crest. Readers should consult with a licensed dentist or healthcare. Tooth + teeth + heal tooth decay + tooth ache relief + tooth cavity remedies + tooth cavity remedies oral health + oral health + tooth cavities + tooth cavities dentists + tooth cavities oral health find this pin and more on teeth by ingridrealtor. Cavity fillings (dental fillings) fill minor cavities in teeth. Then a portion of your tooth is removed. While this is a fairly accurate description; Cavities, also known as dental caries, are caused by a bacterial imbalance in your mouth. Use them in commercial designs under lifetime, perpetual & worldwide rights. Dental images of cavities dry sockets gingivitis. They look like brown or black holes.